很多上了年纪的人,听到“生蛇”二字都会有种望而生畏的感觉。原因很简单,因为一旦患上生蛇,就能享受到刺痛无比的“待遇”,而且患者年龄越大,痛感越明显,严重影响着患者的生活。
更可怕的是,民间还谣传着诸如“生蛇环绕身体一周就会死”的不实言论,让人根本不敢过多去接触或了解。
到底,生蛇是一种什么病呢?
下面,就让香港疫苗注射中心带大家走进“生蛇”这种看似很可怕的病症……
很多上了年纪的人,听到“生蛇”二字都会有种望而生畏的感觉。原因很简单,因为一旦患上生蛇,就能享受到刺痛无比的“待遇”,而且患者年龄越大,痛感越明显,严重影响着患者的生活。
更可怕的是,民间还谣传着诸如“生蛇环绕身体一周就会死”的不实言论,让人根本不敢过多去接触或了解。
到底,生蛇是一种什么病呢?
下面,就让香港疫苗注射中心带大家走进“生蛇”这种看似很可怕的病症……
生蛇是由水痘-带状疱疹病毒引起的一种影响神经和皮肤的感染性疾病,由于皮疹呈带状分布,因此学名称为带状疱疹。
患者初次感染病毒,如果对其无免疫力,很大几率会出现水痘,也有部分患者不出现症状而成为病毒携带者。水痘-带状疱疹病毒具有亲神经性,可长时间潜伏在机体的神经元内,当机体免疫力下降时,病毒会不断繁殖,并沿神经纤维移至皮肤,导致部分神经和皮肤出现严重的炎症。
生蛇的最大危险因素是年龄,特别是超过50岁的人群,容易得带状疱疹。如果免疫系统出现问题,如HIV感染者、癌症患者、使用免疫抑制药物或化疗药物者等,由于这类人群的免疫力较低,因而比较容易出现带状疱疹。
此外,细胞免疫缺陷、机械性创伤、近期精神压力大或者过度劳累等情况,也可能是导致生蛇发生的诱因或危险因素。

虽然水痘和生蛇都是由水痘-带状疱疹病毒感染引起的,但由于这两种疾病的基本病因各不相同,因而水痘和生蛇的症状也大不相同。
● 水痘
水痘发生在水痘-带状疱疹病毒的急性原发感染期,病毒首先在被感染者的鼻咽部繁殖,然后在局部淋巴结内复制再释放入血液中,形成首次病毒血症。当病毒运输至肝、脾等网状内皮系统器官时完成第二轮复制,形成第二次病毒血症,并广泛播散至全身。
水痘主要发生在婴幼儿和学龄前儿童,成人发病症状比儿童更严重,以发热及皮肤和黏膜成批出现周身性红色斑丘疹、疱疹、痂疹为特征,皮疹呈向心性分布,主要发生在胸、腹、背,四肢很少,无剧烈痛感且传染性强,易感儿发病率可达95%以上,俗称见面传。
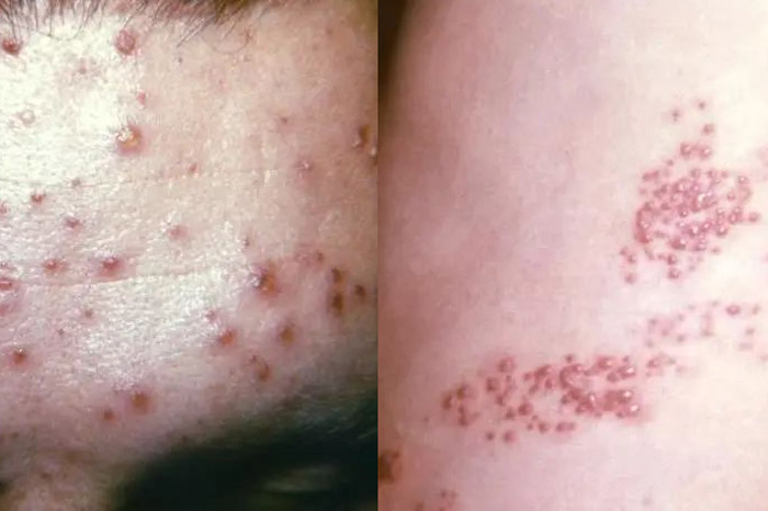
● 生蛇
生蛇是因为潜伏于神经元内的水痘-带状疱疹病毒被激活后,持续复制病在神经节内扩散,累及多个神经元,随后沿着神经扩散至皮肤,导致部分神经和皮肤出现严重的炎症。
起初部分患者有乏力、低烧、头痛等全身性症状,受影响的皮肤可能提前出现灼烧感或疼痛等异常感觉,通常持续1-5天。前驱期后,受影响皮肤常出现成簇的丘疱疹和水疱,并沿着单侧神经支配的区域呈带状分布,极少出现越过身体中线到对侧。
患者出皮疹期间一般伴有明显疼痛感且衣物摩擦或接触后会使痛感加剧,年老体弱患者疼痛更为明显。出疹后持续至少3个月的疼痛称之为生蛇后遗神经痛,这是生蛇最常见的并发症。

虽然水痘和生蛇都是由同一种病毒引起,但是水痘疫苗抑制的是所对应部分水痘-带状疱疹病毒,并非适用所有水痘-带状疱疹病毒,并且水痘疫苗的保护也无法维持一生,因此打过水痘疫苗跟需不需要再打生蛇疫苗并无相关性。
另外,虽然水痘疫苗能够预防水痘的发生,但在接种水痘疫苗后仍能发现人体内野病毒株和疫苗株病毒的潜伏。有研究认为水痘疫苗的接种能够预防临床上疾病的发生,但可能并没有成功预防亚临床的感染或多重感染,以及对野病毒株的预防。
其次,水痘疫苗是减毒活疫苗,疫苗中的活病毒可能会潜伏于神经元等部位,之后可能再次被激活。
因此,无论以前是否曾接种过水痘或是否得过水痘,超过50岁后都应该尽快接种生蛇疫苗,以降低生蛇及其后遗症的发生。另外,香港疫苗注射中心提醒,带状疱疹治疗不及时,可引起一系列严重并发症如生蛇后遗神经痛、视力/听力下降、面瘫、病毒性脑膜炎等,因此若发现身体出现生蛇症状应马上就医治疗,以免错过最佳的治疗时机。

完成測試後,有機會獲免費骨質密度檢查 (DEXA) 乙次 或 骨質密度檢查優惠券乙張
閣下資料將會用作此推廣活動聯絡用途,如因資料有誤而未能聯絡閣下,本公司一概不負上任何責任。